Department of Radiology
Whinney Heys Road
FY3 8NR Blackpool
Lancashire
Tel: 01253 6635
Fax: 01253 306621
Head of Department
Dr. Roger Bury
Telephone: 01253 903615
Fax: 01253 909999
Blackpool Victoria Hospital
Ultrasound
01253 306645
Nuclear Medicine
01253 303919
CT/MR Scanning
01253 306619
Barium/Fluoroscopy
01253 303545
Mammography
01253 306984
Fleetwood Hospital
X-ray & Fluoroscopy
01253 306004
Ultrasound
01253 303146
Clifton Hospital
X-ray
01253 657010
Ultrasound
01253 306645
Information for Patients
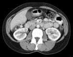
CT Scanning - Virtual Colonoscopy
CT stands for computerised tomography. A CT scan uses x-rays to take detailed pictures of the inside of your body. It helps us find the cause of your problem and guide us to find the best treatment options for you. A standard x-ray does not give the same level of detail as a CT scan. We can scan just about any part of the body, from head to toe! We can even assess the heart, the coronary arteries and the large vessels that bring blood to and from the heart with this type of scan!
The CT scanner is the "doughnut" shaped scanner and not the tunnel! In our experience, patients do not feel claustrophobic while having a CT scan because their head is outside of the scanner for most of the examination.
CT colonography, also known as virtual colonoscopy, uses low-dose radiation scanning to obtain an interior view of the colon (large bowels) that is otherwise only seen with a more invasive procedure where a small camera is inserted to the rectum and passed through the entire colon (endoscopy).
The major reason for performing this examination is to screen for polyps or cancers in the large bowels. The goal is to find these growths in their early stages so that they can be removed early.
We recommend you wear comfortable, loose-fitting clothing to your exam.
The bowel-cleansing regimen for CT colonography is similar to that for a colonoscopy. Your diet will be restricted to clear liquids the day before the examination. It is very important that your colon is cleaned out the night before your examination so that the radiologist can clearly see any polyps that might be present. You will be asked to take laxatives as well.
CT scans use x-rays and are associated with radiation, however the dose we use is very small and the modern machines we use are very efficient to reduce the dose even more. The benefits of the scan are thought to outweigh any risks.
Sometimes we need to give you an injection of contrast dye before the scan in order to see your internal organs better. This contains iodine, which some people are allergic to. Before your scan, we will check whether you've had any previous allergies or have had any problems with your thyroid gland.
Any time an injection is done into a vein, there is a risk of the contrast leaking outside the vein under the skin. If a large amount of contrast leaks under the skin, in rare cases, this can cause the skin to break down.
When you arrive, report to X-ray Central Reception (Area 4) or the Cardiac Care Centre (Area 12). You will be taken to the scan room and positioned on the scan table so that your are comfortable - it is very important that you remain still throughout the scan. The most difficult part is keeping still. If you find it difficult or uncomfortable lying still, please tell the radiographer. The radiographer will monitor you at all times and you will be able to communicate via an intercom.
The appointment will take about 10-20 minutes. We will ask you to hold your breath for up to 20 seconds during the scan so that the images are in focus.
A very small, flexible tube will be inserted into your rectum to allow air to be gently pumped into the colon. This is done so that the bowels are expanded to reduce any folds or wrinkles that might hide smaller polyps. If you need an injection of contrast dye, one of the CT staff will insert a small needle into a vein in the back of your hand or the crook of your arm. When the dye is injected, you might feel somewhat dizzy, have a hot flush and/or get a metallic taste in your mouth. This is normal! Sometimes people also have a sensation that they are wetting the bed (but they don't actually do it). These sensations pass within minutes.
|
If you feel short of breath or like you might have to vomit, please let a radiographer know. |
The room where the machine is will be cold. This is so that the scanner doesn't overheat. We perform approximately over 60 CT examinations daily, and the machines certainly do get warm doing so!
In most cases, once the scan is completed, you will be able to go home or back to the ward if you are an inpatient. You can eat, drink and go back to your normal activities straight away.
You might have a sense of fullness when the colon is inflated with air, and you might feel the need to pass gas.
If you have received a contrast dye injection, you may need to wait 10 minutes before you can go.
The results of your scan will not be available the same day, but a copy of them will be sent to your consultant.

An example of what your scan will look like.



