Department of Radiology
Whinney Heys Road
FY3 8NR Blackpool
Lancashire
Tel: 01253 6635
Fax: 01253 306621
Head of Department
Dr. Roger Bury
Telephone: 01253 903615
Fax: 01253 909999
Blackpool Victoria Hospital
Ultrasound
01253 306645
Nuclear Medicine
01253 303919
CT/MR Scanning
01253 306619
Barium/Fluoroscopy
01253 303545
Mammography
01253 306984
Fleetwood Hospital
X-ray & Fluoroscopy
01253 306004
Ultrasound
01253 303146
Clifton Hospital
X-ray
01253 657010
Ultrasound
01253 306645
Information for Patients
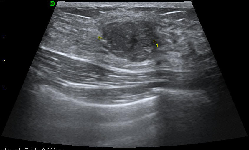
Mammography (Breast Imaging) - Ultrasound
Breast imaging uses x-ray and ultrasound to examine the breast. The most common tests that we carry out are mammography, ultrasound and biopsy.
This type of examination is
mainly performed on women under 40, as well as
men. The examination is painless. A
breast ultrasound takes about 15 minutes,
depending if one of both breasts are being
examined.
Please follow the instructions on your appointment letter carefully. Each examination has a different preparation, instructions of which will be sent to you.
There are no confirmed adverse biological effects on patients or instrument operators caused by exposures to ultrasound.
The sonographer or the radiologist will ask you to lie on a table. He or she will apply some water-based gel to the breast that is going to be examined, so that the sound waves can be transmitted through the tissue and reach the scanning instrument that is placed on your skin. This instrument is called a transducer, and will be moved in different areas to view the problem from many different angles. You will be able to see the scanned images on the screen while you are having the exam performed.
You will not feel any pain during the
scan. Your arm will be placed above
your head for the examination. Your other
breast will be covered.
If you find it difficult or uncomfortable, please tell the sonographer or radiologist.
The ultrasound gel will be removed with paper tissues. If your skin still feels sticky any remaining gel can be washed off with soap and water, but it also dries quickly on its own. If the sonographer or the radiologist gets gel on your clothes, please do not worry! The gel does not stain at all, and it just needs to be dry to become invisible again.
An ultrasound scan generally takes 10-20 minutes, depending on if both breasts or just one breast is being examined.
Once the examination is completed you will be taken back to your cubicle to get dressed. You may then go home and eat and drink normally.
The results of your examination will not be given to you on the same day. To receive these results you will need an appointment see either the consultant who referred you, or your own GP. You will be told after the examination which of these doctors you need to see.





